Μία απίστευτη καταγγελία ερευνούν οι Αρχές της Σρι Λάνκα και της Σαουδικής Αραβίας. Όπως κατήγγειλε μία οικιακή βοηθός, η οποία εργαζόταν από τον περασμένο Μάρτιο στη Σαουδική Αραβία, ο εργοδότης της την βασάνιζε μπήγοντας καρφιά μήκους ακόμη και πέντε εκατοστών σε διάφορα σημεία του σώματός της.
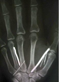
Η 49χρονη Λ.Τ. Αριγιαουάθι επέστρεψε στην πατρίδα της, τη Σρι Λάνκα, και κατήγγειλε τα όσα έζησε στις αρμόδιες Αρχές. Μάλιστα, στο νοσοκομείο όπου νοσηλεύεται, διαπιστώθηκε πως είχε 24 καρφιά στο κορμί της! Τα περισσότερα καρφιά εντοπίστηκαν στα χέρια και τα πόδια της γυναίκας.
«Διεξάγουμε έρευνα σε συντονισμό με τις αρχές της Σαουδικής Αραβίας θα συλλάβουμε τους υπόπτους», είπε ο υπουργός Οικονομικής Ανάπτυξης της χώρας, Λακσμάν Γιάπα Αμπεϊουαρντένα.
Σύμφωνα με την υπηρεσία απασχόλησης στο εξωτερικό της Σρι Λάνκα, περίπου 1,8 εκατ. άνθρωποι δουλεύουν σε ξένες χώρες, από τις οποίες το 70% είναι γυναίκες. Οι περισσότερες εργάζονται ως οικιακές βοηθοί σε χώρες στην Μέση Ανατολή, και λιγότερες στη Σιγκαπούρη και στο Χονγκ Κονγκ.
Καταγγελίες περί κακομεταχείρισής τους γίνονται συχνά και η κυβέρνηση έχει καταστήσει υποχρεωτική την καταχώρισή τους σε ειδικούς καταλόγους στις χώρες όπου εργάζονται, ώστε να υπάρχει η δυνατότητα προξενικής βοήθειας όταν ανακύπτουν προβλήματα.

