Η εμβληματική ηθοποιός του Χόλιγουντ Κάθριν Ο’Χάρα πέθανε την Παρασκευή σε ηλικία 71 ετών, αφού μεταφέρθηκε εσπευσμένα σε νοσοκομείο του Λος Άντζελες σε «σοβαρή» κατάσταση. Σύμφωνα με πληροφορίες, διασώστες κλήθηκαν στο σπίτι της πρωταγωνίστριας της σειράς Schitt’s Creek και τη μετέφεραν σε κοντινό νοσοκομείο, όπου και κατέληξε.
Το πρακτορείο που την εκπροσωπούσε ανακοίνωσε ότι η ηθοποιός «απεβίωσε έπειτα από σύντομη ασθένεια», χωρίς ωστόσο να έχει δοθεί επίσημη αιτία θανάτου. Ένα στοιχείο που είναι βέβαιο είναι ότι η Κάθριν Ο’Χάρα ζούσε με μια σπάνια συγγενή πάθηση, γνωστή ως δεξτροκαρδία με ανάστροφη θέση.
Μέχρι τώρα παραμένει άγνωστο εάν η συγκεκριμένη διάγνωση έπαιξε ρόλο στον θάνατό της, σύμφωνα με την nypost.
Ακολουθούν όλα όσα είναι γνωστά για τη σπάνια αυτή κατάσταση.
Τι είναι η δεξτροκαρδία με situs inversus
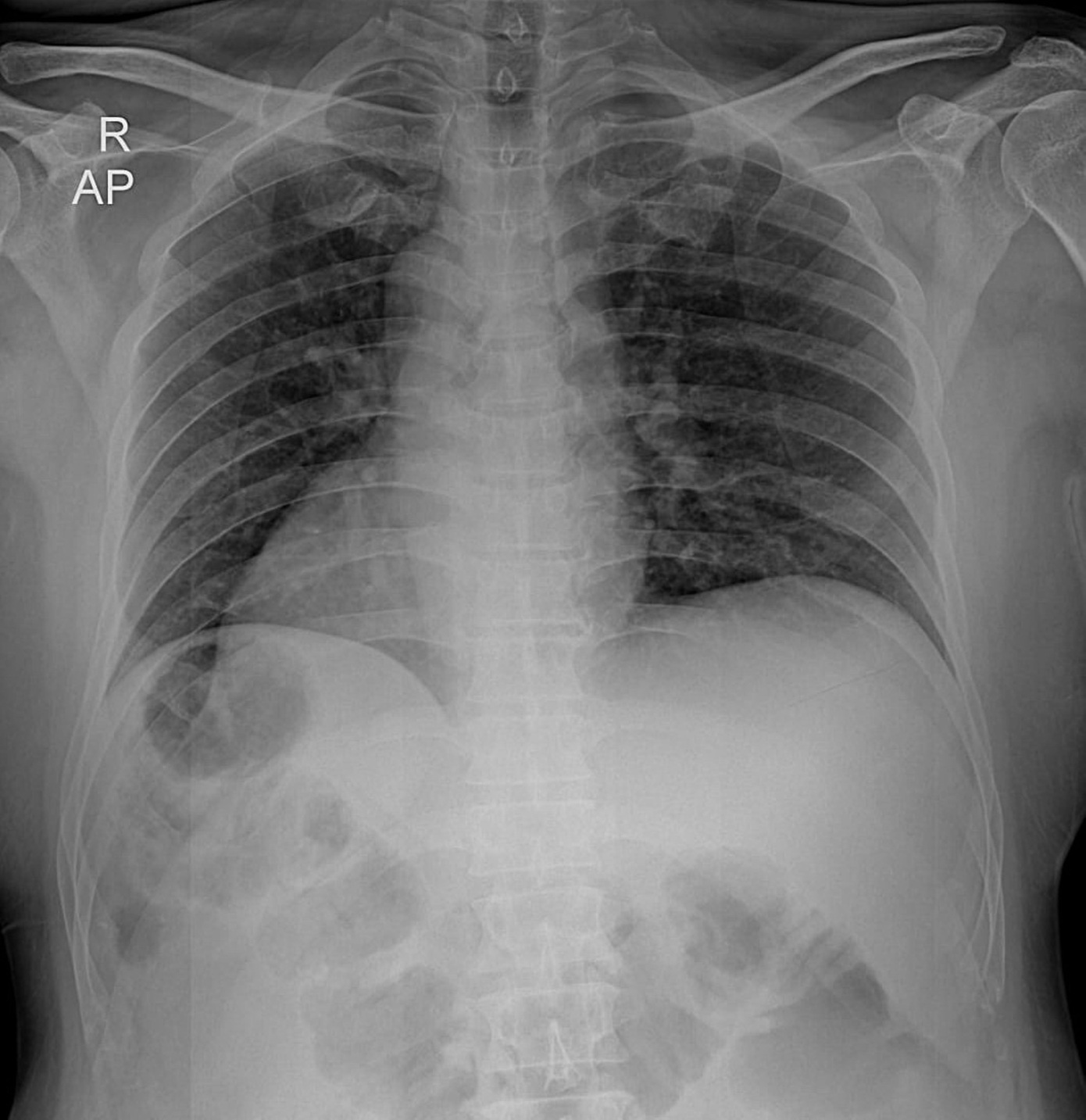
Πρόκειται για μια σπάνια συγγενή ανωμαλία, κατά την οποία τα όργανα του θώρακα και της κοιλιακής χώρας βρίσκονται σε θέση κατοπτρική σε σχέση με τη φυσιολογική ανατομία, σύμφωνα με την Cleveland Clinic. Για παράδειγμα, ο σπλήνας μπορεί να βρίσκεται στη δεξιά πλευρά αντί για την αριστερή ή το ήπαρ στην αριστερή αντί για τη δεξιά.
Η Κάθριν Ο’Χάρα δεν γνώριζε ότι έπασχε από τη συγκεκριμένη συγγενή ανωμαλία μέχρι την ενήλικη ζωή της.
Η πρωταγωνίστρια της ταινίας Home Alone και ο σύζυγός της, Μπο Γουέλς, υποβάλλονταν σε εξετάσεις για φυματίωση, στο πλαίσιο προϋπόθεσης για τη φοίτηση του γιου τους σε σχολή νοσηλευτικής. Τότε, ο γιατρός της ζήτησε να κάνει τυπικές εξετάσεις, όπως ηλεκτροκαρδιογράφημα και ακτινογραφία θώρακος, κατά την επίσκεψή της στο ιατρείο, όπως η ίδια είχε αποκαλύψει σε συνέντευξή της το 2021.
«Όταν ο γιατρός μάς είπε ότι η καρδιά μου βρισκόταν στη δεξιά πλευρά και ότι τα όργανά μου ήταν αντεστραμμένα, ο σύζυγός μου είπε αμέσως: “Όχι, το κεφάλι της είναι γυρισμένο ανάποδα“», είχε αναφέρει η Ο’Χάρα γελώντας.

Πόσο συχνή είναι η πάθηση
Η δεξτροκαρδία με situs inversus επηρεάζει περίπου 1 στους 10.000 ανθρώπους και εμφανίζεται συχνότερα στους άνδρες. Μεταξύ των γνωστών προσώπων που ζουν με την ίδια πάθηση συγκαταλέγονται ο Enrique Iglesias, 50 ετών, και ο Donny Osmond, 68 ετών.
Ποια είναι τα αίτια
Οι γιατροί δεν είναι απολύτως βέβαιοι για τα αίτια της πάθησης, ωστόσο έχει συνδεθεί με γενετικές μεταλλάξεις. Κληρονομείται με αυτοσωμικό υπολειπόμενο τρόπο, πράγμα που σημαίνει ότι και οι δύο γονείς πρέπει να μεταφέρουν το μεταλλαγμένο γονίδιο για να γεννηθεί ένα παιδί με τη συγκεκριμένη κατάσταση.
Ποια είναι τα συμπτώματα
Πολλοί άνθρωποι δεν εμφανίζουν κανένα σύμπτωμα, καθώς τα όργανα, αν και αντεστραμμένα, λειτουργούν κανονικά. Αυτό εξηγεί και το γεγονός ότι η Κάθριν Ο’Χάρα δεν το είχε αντιληφθεί νωρίτερα στη ζωή της. Ωστόσο, η κατοπτρική διάταξη των οργάνων μπορεί να δυσκολέψει τη διάγνωση μελλοντικών ιατρικών προβλημάτων, καθώς τα συμπτώματα ενδέχεται να εμφανίζονται σε μη αναμενόμενα σημεία.
Σε ορισμένες περιπτώσεις, η δεξτροκαρδία με situs inversus συνδέεται με άλλες παθήσεις ή συγγενείς ανωμαλίες, προκαλώντας συμπτώματα όπως αναπνευστικά προβλήματα, κόπωση, συχνές λοιμώξεις των ιγμορείων ή των πνευμόνων, ίκτερο και ωχρό ή κυανωτικό δέρμα λόγω χαμηλών επιπέδων οξυγόνου, σύμφωνα με το Johns Hopkins Medicine. Δεν είναι γνωστό εάν η πρωταγωνίστρια της ταινίας Beetlejuice αντιμετώπιζε κάποια από αυτές τις σχετιζόμενες καταστάσεις.
Απαιτείται θεραπεία;
Συνήθως όχι, καθώς οι γιατροί δεν επιχειρούν να «αντιστρέψουν» τη θέση των οργάνων. Εάν όμως προκύψουν επιπλοκές λόγω άλλης πάθησης, αυτές αντιμετωπίζονται αναλόγως. Η θεραπεία μπορεί να περιλαμβάνει τη χορήγηση αντιβιοτικών για λοιμώξεις ή φαρμακευτική αγωγή για την υποστήριξη της καρδιακής και πνευμονικής λειτουργίας.
Ποιο είναι το προσδόκιμο ζωής
Οι περισσότεροι άνθρωποι με δεξτροκαρδία και situs inversus μπορούν να ζήσουν μια φυσιολογική ζωή και πολλοί δεν μαθαίνουν ποτέ ότι πάσχουν από τη συγκεκριμένη κατάσταση. Εάν, ωστόσο, συνδέεται με άλλα προβλήματα υγείας, η πρόγνωση εξαρτάται από τη συγκεκριμένη διάγνωση και τη θεραπεία που ακολουθείται.
Μέχρι στιγμής, παραμένει ασαφές εάν η σπάνια αυτή πάθηση συνδέεται με τον θάνατο της Κάθριν Ο’Χάρα. Η ηθοποιός αφήνει πίσω της τον σύζυγό της, Μπο Γουέλς, με τον οποίο ήταν παντρεμένη επί 33 χρόνια, καθώς και τους δύο γιους τους, Μάθιου, 31 ετών, και Λουκ, 29 ετών.