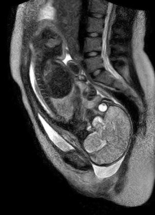
Επιστήμονες σε νοσοκομείο του Βερολίνου έβγαλαν τις πρώτες εικόνες με μαγνητικό τομογράφο κατά την διαδικασία της γέννας.
Η μητέρα γέννησε μέσα στον μαγνητικό τομογράφο που είχε διαμορφωθεί ειδικά για την περίσταση.

Τα αποτελέσματα αυτού του εγχειρήματος είναι πολύ σημαντικά γιατί μπορούν να πάρουν πολλές πληροφορίες που δεν είχαν πριν για την κατάσταση του μωρού κατά τη διαδικασία της γέννησης.

Το μόνο μειονέκτημα του μαγνητικού τομογράφου είναι ότι κάνει πάρα πολύ θόρυβο. Κατά την διάρκεια της διαδικασίας η μητέρα φορούσε ωτοασπίδες και με το που άνοιξε ο αμνιακός σάκος έκλεισαν τον μαγνητικό τομογράφο για να μην βλάψουν την ακοή του παιδιού.