Ξέφυγε από το θάνατο κυριολεκτικά… παρά τρίχα, όταν ένας νεαρός πίστεψε ότι θα ήταν αστείο να εκτοξεύσει εναντίον του ένα βέλος.
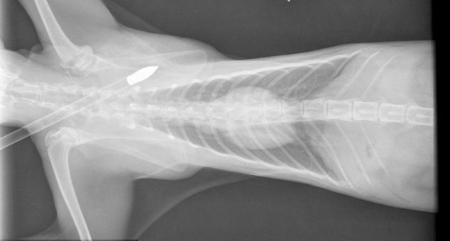
Το βέλος καρφώθηκε στο Gizmo περνώντας ξυστά από το κεφάλι και το στήθος του.
Ο ηλικίας ενός έτους γκρι γάτος της Nicola και του Graham Congrave από το Worcestershire τελικά χρειάστηκε μόνο δύο ράμματα, παρότι οι έντρομοι ιδιοκτήτες του τον βρήκαν να νιαουρίζει απελπισμένος μέσα σε μια λίμνη αίματος.
«Δε μπορώ να πιστέψω πώς κάποιος μπορεί έστω και να σκεφτεί να κάνει τέτοιο πράγμα σε ένα ζώο» είπε η Nicola.





