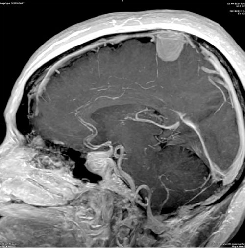
Ρίχνουν «δίχτυα» για να προλάβουν τα εγκεφαλικά επεισόδια οι επιστήμονες. Σύμφωνα με δυο νέες επιστημονικές έρευνες που επικαλείται δημοσίευμα του BBC, οι ειδικοί έχουν στα «σκαριά» ένα ειδικό «δίχτυ»- πλέγμα, το οποίο θα μπορεί να αφαιρεί εγκαίρως τους θρόμβους από τα αγγεία του εγκεφάλου, μειώνοντας σημαντικά τον κίνδυνο εγκεφαλικού αλλά και καθιστώντας τις εγχειρίσεις μετά το επεισόδιο πιο αποτελεσματικές και την ανάρρωση του ασθενούς ταχύτερη.

Εκτός των εγκεφαλικών, οι θρόμβοι στα αγγεία του εγκεφάλου αποτρέπουν την ροή οξυγόνου προς τον εγκέφαλο, κάτι που προκαλεί παράλυση και ενίοτε προβλήματα στην ομιλία και την άρθρωση του ανθρώπου.

Σύμφωνα με τις μελέτες, μέσω ενός μικρού σωλήνα, οι γιατροί θα βυθίζουν στον θόλο του εγκεφάλου του πάσχοντος κάτι σαν λεπτό καλώδιο. Αυτό θα πλέκεται σαν «δίχτυ» γύρω από το θρόμβο και θα τον αφαιρεί.

Μάλιστα, κατόπιν μελετών, προέκυψε ότι οι ασθενείς οι οποίοι θεραπεύονται από θρομβώσεις στον εγκέφαλο κατ’ αυτόν τον τρόπο έχουν διπλάσιες πιθανότητες να αποκατασταθεί πλήρως η υγεία τους και οι συνθήκες της ζωής τους μετά την επέμβαση εν συγκρίσει με ασθενείς που θεραπεύονται με άλλες μεθόδους.