Ένα μικρό παιδί έχασε τη ζωή του, αφού νόσησε με ένα σπάνιο ιό, που συνήθως προσβάλλει περιστέρια. Μάλιστα, αυτή είναι μόλις η 5η περίπτωση θανάτου που έχει καταγραφεί από αυτό το νόσημα.
Το κορίτσι, ηλικίας δύο ετών, μεταφέρθηκε στο νοσοκομείο «Prince of Wales Hospital» της Νέας Νότιας Ουαλίας στην Αυστραλία, τρεις εβδομάδες αφότου νόσησε και παρουσίαζε συμπτώματα ναυτίας, εμετού και άλλα που εμφανίζονται σ’ ένα απλό κρύωμα, σύμφωνα με το Κέντρο Ελέγχου και Πρόληψης Διάδοσης Ασθενειών της χώρας, όπως μετέφερε η «New York Post».
Έπασχε από λευχαιμία
Έξι μήνες πριν από την εμφάνιση των συμπτωμάτων, ολοκλήρωσε το δεύτερο κύκλο χημειοθεραπείας, για να αντιμετωπίσει τη λευχαιμία με την οποία είχε διαγνωστεί.
Η κατάστασή της, αφότου μεταφέρθηκε στο νοσοκομείο, γινόταν χειρότερη μέρα με τη μέρα και μέσα σε τέσσερις ημέρες καταγράφηκε πως είχε επιληπτικές κρίσεις, ενώ ο πυρετός της δεν έλεγε να πέσει.
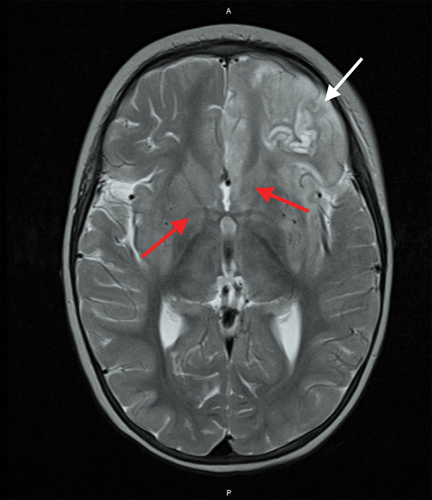
Οι γιατροί πραγματοποίησαν μια σειρά από εξετάσεις, αλλά δεν εντόπισαν οτιδήποτε θα μπορούσε να δώσει απαντήσεις και να εξηγεί το λόγο για τον οποίο η υγεία του παιδιού δεν βελτιωνόταν και το πρήξιμο στον εγκέφαλο δεν υποχωρούσε, παρόλο που του χορηγήθηκε ισχυρή φαρμακευτική αγωγή, που περιελάμβανε αντιικά, αντιβιοτικά και φάρμακα, για να καταπολεμήσει τις επιληπτικές κρίσεις. Κατέληξε 27 ημέρες, αφότου εισήχθη στο νοσοκομείο.

Μετά τον θάνατο του παιδιού, έγιναν εξετάσεις, για να εξακριβωθεί από τι έχασε τη ζωή του και αυτές αποκάλυψαν πως νοσούσε από μια νόσο που προσβάλει τα πτηνά, την APMV-1, η οποία προκαλεί τη νόσο του Νιούκαστλ. Αυτή είναι μια άκρως μεταδοτική νόσος, που επηρεάζει πουλιά και πτηνά, συνήθως περιστέρια. Οι γιατροί, τώρα, υποστηρίζουν πως η μικρή πέθανε από το πρήξιμο του εγκέφαλου, που προκαλεί η προαναφερθείσα νόσος, η οποία άρχισε από τη μύτη ή το στόμα της όταν ήρθε σε επαφή με μολυσμένα περιττώματα περιστεριού ή εκκρίσεις από μολυσμένο περιστέρι.
Η πρώτη περίπτωση του APMV-1 στους ανθρώπους εμφανίστηκε στην Αυστραλία το 1942. Έκτοτε έχουν καταγραφεί 485 σε όλο τον κόσμο, με περισσότερες από τις μισές να παρουσιάζονται στις ΗΠΑ και τη Βρετανία, ενώ πριν από τον θάνατο του κοριτσιού είχαν καταγραφεί άλλοι τέσσερις σε Ολλανδία, ΗΠΑ, Κίνα και Γαλλία.