Στο ιατρικό περιοδικό Cureus Medical Journal δημοσιεύτηκε μια ενδιαφέρουσα μελέτη, η οποία μεταξύ άλλων περιλάμβανε μια σπάνια περίπτωση ασθενούς που ζούσε για 20 χρόνια χωρίς πρόβλημα, ενώ είχε μια λωρίδα γάζας στο στομάχι της.
Σύμφωνα με την nypost.com, το 1999 η γυναίκα που δεν κατονομάζεται, έπασχε από έναν σπάνιο τύπο καρκίνου που ονομάζεται αδενοκαρκίνωμα του γαστρικού βλεννογόνου. Έτσι, υποβλήθηκε σε μια σειρά επεμβάσεων και συγκεκριμένα σε γαστρεκτομή και επιπλοεκτομή πριν υποβληθεί σε χημειοθεραπεία.

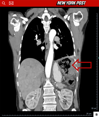
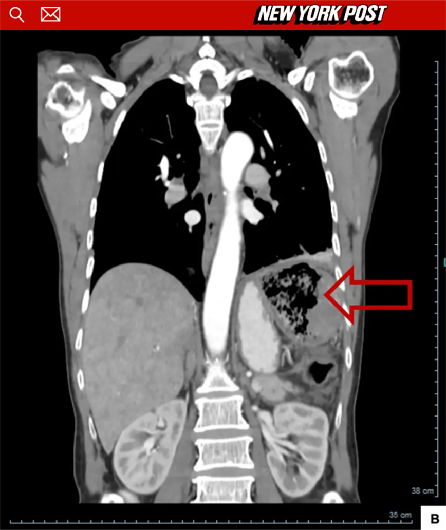
Παρόλα αυτά, ξέχασαν στο στομάχι της μια ολόκληρη λωρίδα γάζας, η οποία έμεινε μέσα στο σώμα για 20 χρόνια, χωρίς να παρουσιαστεί κανένα πρόβλημα.
Μάλιστα, μπορεί να υποβλήθηκε σε εξετάσεις και ακτινογραφίες τα επόμενα χρόνια, όμως οι γιατροί ποτέ δεν μπήκαν στον κόπο να δουν καλύτερα, τι ήταν το περίεργο πράγμα που εντόπιζαν στο στομάχι.
Πριν από λίγο καιρό όμως, η γυναίκα βίωσε δύο ημέρες έντονου κοιλιακού πόνου, είχε έντονο πυρετό και νυχτερινές εφιδρώσεις, αλλά και πρήξιμο στο κάτω δεξί άκρο της. Επίσης, υπέφερε από ανεξήγητη ανορεξία, η οποία την έκανε να χάσει 17 κιλά – περισσότερο από το 10% της μάζας του σώματός της.
Τότε, πήγε στο νοσοκομείο και μετά τις απαραίτητες εξετάσεις αυτή την φορά οι γιατροί κατάλαβαν ότι κάτι δεν πήγαινε καλά, μέχρι που εντόπισαν ότι πρόκειται για μια ξεχασμένη γάζα από το προηγούμενο χειρουργείο.
