Με ένα ιδιαίτερα ασυνήθιστο περιστατικό ήρθαν αντιμέτωποι οι γιατροί στην Ιαπωνία, καθώς ένας ηλικιωμένος πήγε στο νοσοκομείο, επειδή είχε χώσει ένα σχοινί δύο μέτρων στο πέος του, με αποτέλεσμα να κολλήσει στην ουροδόχο κύστη του.
Το περιστατικό δημοσιοποιήθηκε για πρώτη φορά τον Σεπτέμβριο στο Urology Case Report, με τους ειδικούς να αναφέρουν ότι η υπόθεση αφορά έναν 79χρονο Ιάπωνα, όπως αναφέρει η nypost.com. Μια μέρα λοιπόν, ο άνδρας πήγε στο νοσοκομείο και είπε ψέματα για την κατάσταση του, αφού παραπονέθηκε, ότι έπασχε από δυσουρία, μια πάθηση που δημιουργεί δυσκολία στην ούρηση.

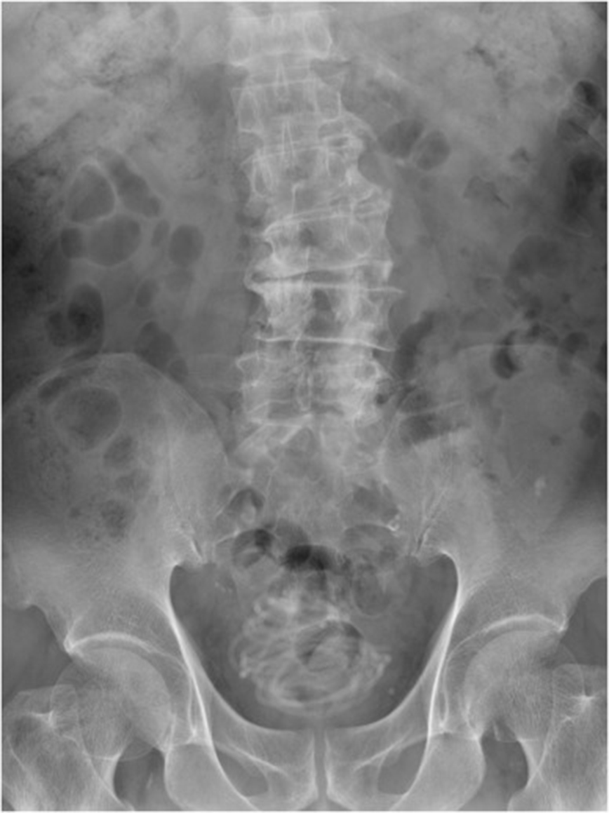
Τότε, υποβλήθηκε σε εξετάσεις και οι γιατροί δεν πίστευαν αυτό που έβλεπαν, αφού βρήκαν «ένα μεγάλο αντικείμενο συνοδευόμενο από σκιές». Έτσι, του έκαναν ακτινογραφία που αποκάλυψε πως ήταν «ένα συρμάτινο τυλιγμένο ξένο σώμα», με τον 79χρονο στη συνέχεια να παραδέχεται πως έχωσε το σχοινί στο πέος του, με αποτέλεσμα να κολλήσει μέσα, αν και δεν αποκάλυψε ποτέ τον λόγο που προέβη σε αυτή την πράξη.
Οι ειδικοί λοιπόν, τον έβαλαν στο χειρουργείο και άνοιξαν την κοιλιά του, ώστε να αφαιρέσουν το αντικείμενο, το οποίο επειδή είχε μπλεχτεί, δεν μπορούσε να αφαιρεθεί με κάποια βαλβίδα που θα το τραβούσε από το πέος.

«Η διουρηθρική εξαγωγή ήταν δύσκολη λαμβάνοντας υπόψη το μήκος του σχοινιού και την εμπλοκή του στην ουροδόχο κύστη», είπε χαρακτηριστικά ο καθηγητής Toshiki Kijima, συν-συγγραφέας της μελέτης. Παράλληλα, δήλωσε πως «παραδοσιακά, οι λαβίδες και τα καλάθια ανάκτησης χρησιμοποιούνται για την αφαίρεση ξένων σωμάτων. Ωστόσο, τα καλώδια που εισάγονται στην ουροδόχο κύστη συνήθως κουλουριάζονται καθώς συστέλλεται η κύστη. Ως εκ τούτου, απαιτείται ιδιαίτερη προσοχή για ξένα σώματα που μοιάζουν με σύρμα».
Ευτυχώς, ο 79χρονος ανάρρωσε πλήρως και δεν υπέστη μακροχρόνιο τραυματισμό. Μάλιστα, δεν είναι το μόνο ασυνήθιστο ιατρικό περιστατικό στην Ιαπωνία που βγαίνει στη δημοσιότητα, αφού λίγο καιρό πριν, γιατροί έπρεπε να αφαιρέσουν ένα καλώδιο USB από το πέος ενός εφήβου που είχε κολλήσει, πάλι για λόγους που δεν έγιναν ποτέ γνωστοί.