Μαλλιά του Τζάστιν Μπίμπερ – 40.000 δολ.

Ανάσα του Μπραντ Πιτ και της Αντζελίνα Τζολί – 530 δολ.

Δόντι του Τζον Λένον – 31.000 δολ.

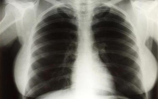
Ακτινογραφία θώρακος της Μέριλιν Μονρό – 45.000 δολ.

Εσώρουχο της βασίλισσας Ελισάβετ – 18.000 δολ.

Αίμα του Ρόναλντ Ρίγκαν – 30.000 δολ.

Χαρτομάντηλο της Σκάρλετ Γιόχανσον – 5.300 δολ.

Εσώρουχο του Μάικλ Τζάκσον – 1.000.000 δολ.

Τσίχλα της Μπρίντεϊ Σπίαρς – 14.000 δολ.
