Ένας καθηγητής τέσταρε τον εγκέφαλο ανθρώπων που λένε ότι έχουν βιώσει μια επαφή με UFO και παρατήρησε μία σειρά συμπτωμάτων που εμφάνισαν. Ο Δρ. Garry Nolan, καθηγητής Παθολογίας στο Πανεπιστήμιο του Στάνφορντ, ο οποίος έχει δημοσιεύσει περισσότερα από 300 ερευνητικά άρθρα και κατέχει 40 πατέντες στις ΗΠΑ, έχει περάσει την τελευταία δεκαετία αναλύοντας υλικό από φερόμενα Αγνώστου Ταυτότητας Ιπτάμενα Φαινόμενα (Unidentified Aerial Phenomenon UAP).
Μιλώντας στο Motherboard του Vice, ο Nolan μίλησε για τη δουλειά του και αποκάλυψε τι πυροδότησε το ενδιαφέρον του για το UAP. Ο καθηγητής είπε ότι το ενδιαφέρον του πυροδοτήθηκε όταν επικοινώνησε με έναν άνδρα ονόματι Στίβεν Γκριρ, ο οποίος ισχυρίστηκε ότι ένας μικρός σκελετός που είχε δει ήταν πιθανώς εξωγήινος.
Τελικά αποκαλύφθηκε ότι ο σκελετός ήταν ανθρώπινος καθώς είχε «μια σειρά μεταλλάξεων στα σκελετικά γονίδια που θα μπορούσαν ενδεχομένως να εξηγήσουν τη βιολογία», εξήγησε ο Nolan.
Οι εγκέφαλοι των πιλότων που φέρεται να είχαν επαφή και τα ευρήματα
Ο Nolan δημοσίευσε μια εργασία με τίτλο «Η αλληλουχία ολόκληρου του γονιδιώματος του σκελετού της Ατακάμα δείχνει νέες μεταλλάξεις που συνδέονται με τη δυσπλασία» – η οποία οδήγησε τον καθηγητή να έρθει σε επαφή με άτομα που συνδέονται με τη CIA και διάφορες εταιρείες αεροναυπηγικής.
Η εμπλοκή του με το UAP ξεκίνησε αφού του ζητήθηκε να χρησιμοποιήσει τα «όργανά του για ανάλυση αίματος» για να βοηθήσει σε περιπτώσεις πιλότων που ήταν κοντά σε υποτιθέμενους UAP και παρουσίασαν «φρικτές» εγκεφαλικές βλάβες.
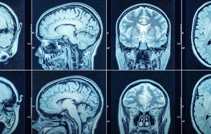
Όταν ρωτήθηκε αν θα μπορούσε να περιγράψει τις πιο μη φυσιολογικές επιδράσεις στον εγκέφαλο που παρατηρήθηκαν με τις μαγνητικές τομογραφίες, ο Nolan είπε: «Αν έχετε δει ποτέ μια μαγνητική τομογραφία κάποιου με σκλήρυνση κατά πλάκας, υπάρχει κάτι που ονομάζεται ασθένεια της λευκής ουσίας του εγκεφάλου.»
«Είναι μια μεγάλη λευκή σταγόνα, ή πολλές λευκές σταγόνες, διάσπαρτες σε όλη τη μαγνητική τομογραφία. Είναι ουσιαστικά ένας νεκρός ιστός όπου το ανοσοποιητικό σύστημα έχει επιτεθεί στον εγκέφαλο», συνέχισε.

Περίπου 100 ασθενείς, εξετάστηκαν κυρίως «κυβερνητικό ή στρατιωτικό προσωπικό ή άτομα που εργάζονται στην αεροδιαστημική βιομηχανία», είπε ο Nolan.
«Έχετε ένα πλήθος ασθενών, μερικοί από τους οποίους άκουγαν περίεργους θορύβους στο κεφάλι τους, άλλοι αρρώστησαν κλπ.», είπε ο Nolan. «Ένα εύλογο υποσύνολο από αυτούς ισχυρίστηκαν ότι είχαν δει UAP και κάποιοι ισχυρίστηκαν ότι ήταν κοντά σε πράγματα που τους αρρώστησαν».
Τελικά, η ομάδα του έμαθε ότι οι άνθρωποι, που αρχικά πίστευαν ότι ήταν κατεστραμμένοι, είχαν μια «υπερ-σύνδεση νευρώνων μέσα στον εγκέφαλό τους».
Ο αριθμός των ανθρώπων που είχαν αυτή την «υπερ-σύνδεση» οδήγησε στο ανοιχτό ερώτημα: «Η επαφή με ό,τι κι αν ήταν αυτό που ισχυρίζονται ότι είδαν το προκάλεσε αυτό ή όχι;»
Ο Nolan είπε ότι περίπου το ένα τέταρτο των ασθενών που τους έκαναν μαγνητική τομογραφία και που ισχυρίστηκαν ότι είχαν μια συνάντηση, πέθαναν εν τέλει από τα τραύματά τους.
Και η πλειονότητα βρέθηκε να έχει συμπτώματα πανομοιότυπα με το σύνδρομο της Αβάνας. Ωστόσο μερικοί άνθρωποι που είχαν βιώσει μία UAP δεν είχαν σύνδρομο Αβάνας, και αντ’ αυτού, ένα ευρύ φάσμα συμπτωμάτων.