Μπορεί να υπεβλήθησαν σε μια επικίνδυνη και επίπονη χειρουργική επέμβαση συνολικά 13 ωρών, όμως ο Joshua και ο Jacob Spates χαμογελούν ενθουσιασμένοι αντικρίζοντας ο ένας το βλέμμα του άλλο για πρώτη φορά.
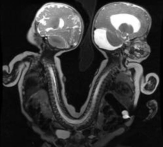
Τα οχτώ μηνών αδέλφια που γεννήθηκαν στο Memphis του Tennessee ήταν ενωμένα στο πίσω μέρος της λεκάνης καθώς και στο γαστρεντερικό σωλήνα τους με αποτέλεσμα να μην μπορούν να βλέπουν ο ένας τον άλλον.
Η 29χρονη μητέρα τους, Adrienne Spates είπε ενθουσιασμένη ότι μετά την επικίνδυνη επέμβαση της 29ης Αυγούστου τα δυο τους τα πηγαίνουν περίφημα. Ο μικρός Jacob βρίσκεται ακόμα στο νοσοκομείο διότι θα υποβληθεί και σε μερικές ακόμα επεμβάσεις καθώς αντιμετωπίζει κάποια προβλήματα στην καρδιά του ενώ ο Joshua είναι έτοιμος να πάει σπίτι.
Σήμερα ο γιατρός τους τόνισε: «Εάν δεν είχαν υποβληθεί σε αυτήν την επέμβαση, υπήρχαν σημαντικές πιθανότητες μέσα στον επόμενο χρόνο να είχαν αποβιώσει».





