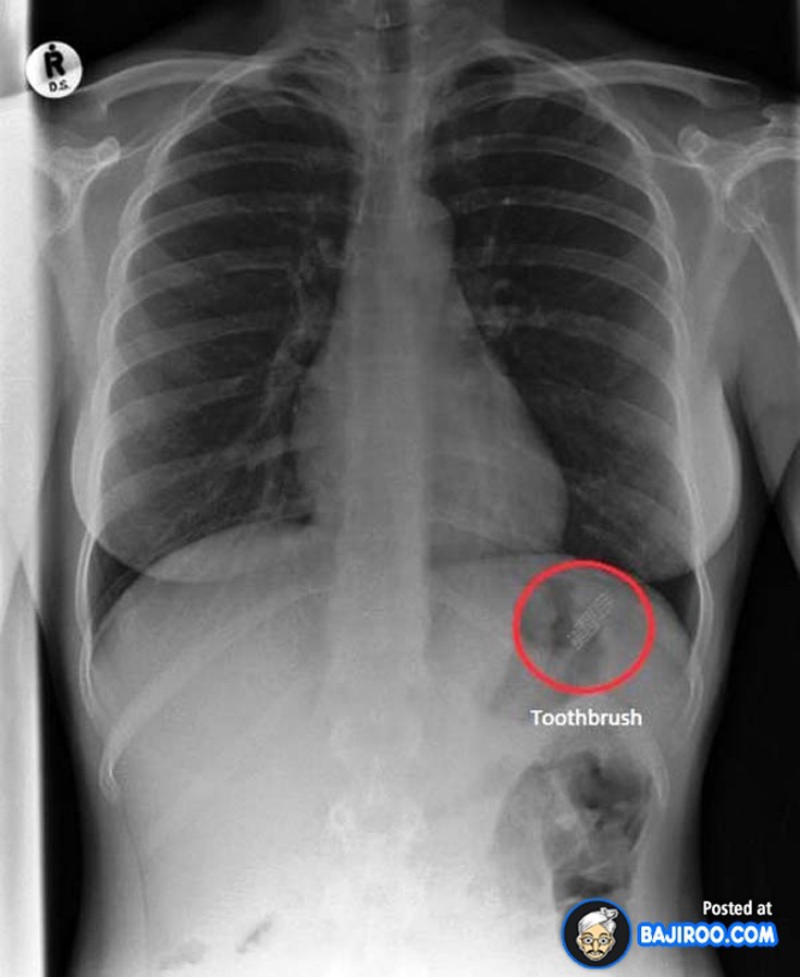
Ο,ΤΙ ΝΑ 'ΝΑΙ #ακτινογραφίες Παράξενα πράγματα που έχουν δείξει οι ακτινογραφίες Από δαχτυλίδια μέχρι πιρούνια και καρφιά - Δείτε τις φωτογραφίες 15·04·2016 11:08 1 σχόλια
ΤΗΛΕΟΡΑΣΗ 27·11·2025 08:27 MadWalk 2025: Η εντυπωσιακή έναρξη με το χορευτικό της Καγιά με τον Ρουβά – Ο Μαζωνάκης ερμήνευσε Διονύση Σαββόπουλο
ΚΟΙΝΩΝΙΑ 27·11·2025 10:16 Μυστήριο με τα δύο μαχαίρια που βρέθηκαν στο σπίτι της 75χρονης στη Σαλαμίνα – «Το αίμα πέρασε μέσα από τα γάντια»
ΚΟΣΜΟΣ 27·11·2025 22:55 Ο εργαζόμενος που σκότωσε τον 15χρονο, εισάγοντας αέρα υψηλής πίεσης στον πρωκτό του, δημοσίευσε βίντεο για να δείξει ότι ήταν «φάρσα»
ΚΟΙΝΩΝΙΑ 27·11·2025 23:26 Τρόμος στα Πατήσια: Τα… ερωτικά ραντεβού με τις καλλίγραμμες Ασιάτισσες κατέληγαν σε εφιάλτη
ΚΟΣΜΟΣ 27·11·2025 16:39 Ιάπωνας ειδικός σε θέματα σεισμών: «Αυτές είναι οι επικίνδυνες περιοχές στην Τουρκία» – Ποιες γειτνιάζουν με την Ελλάδα
ΚΟΙΝΩΝΙΑ 27·11·2025 23:36 Νέα Ερυθραία: Μετά το «ξέρετε ποιος είμαι εγώ;» μπήκαν οι χειροπέδες στον 20χρονο γιο του πρώην υπουργού
ΠΟΛΙΤΙΚΗ 11 λ. πριν Νέο παράθυρο Σκληρό μπρα ντε φερ ΝΔ – ΠΑΣΟΚ για τον ΟΠΕΚΕΠΕ – Πώς απαντά στα fake news Ανδρουλάκη η κυβέρνηση
ΚΟΣΜΟΣ 34 λ. πριν Νέο παράθυρο Οι ΗΠΑ θα αναθεωρήσουν τις «πράσινες κάρτες» για πολίτες χωρών με πιθανό κίνδυνο ασφαλείας μετά την επίθεση στην Ουάσιγκτον
ΚΟΣΜΟΣ 48 λ. πριν Νέο παράθυρο Τρεις Κινέζοι σκοτώθηκαν σε επίθεση κοντά στα σύνορα του Τατζικιστάν με το Αφγανιστάν
ΚΟΣΜΟΣ 1 ω. πριν Νέο παράθυρο «Ιστορική» κατάσχεση τεσσάρων τόνων κοκαΐνης στον Ειρηνικό σε κοινή επιχείρηση της Κόστα Ρίκα και των ΗΠΑ
ΚΟΣΜΟΣ 2 ω. πριν Νέο παράθυρο Τουλάχιστον 94 οι νεκροί από τον φλεγόμενο εφιάλτη στο Χονγκ Κονγκ – Συνεχίζονται οι επιχειρήσεις διάσωσης
ΚΟΣΜΟΣ 2 ω. πριν Νέο παράθυρο Με ασφάλεια έφτασε το ρωσικό διαστημόπλοιο Soyuz στον ISS – Υπέστη ζημιές η πλατφόρμα εκτόξευσης στο Μπαϊκονούρ
ΚΟΣΜΟΣ 2 ω. πριν Νέο παράθυρο Η OpenAI αποποιείται την ευθύνη, κάνοντας λόγο για «κατάχρηση» του ChatGPT μετά την αυτοκτονία του 16χρονου
ΚΟΣΜΟΣ 3 ω. πριν Νέο παράθυρο Ο Τραμπ προαναγγέλλει επιχειρήσεις «στο έδαφος» κατά «διακινητών ναρκωτικών» στη Βενεζουέλα
ΕΛΛΑΔΑ 28·11·2025 03:13 Νέο παράθυρο Η Αττική στη δίνη νέου κύματος κακοκαιρίας – Σφοδρή βροχόπτώση πλήττει αρκετές περιοχές
ΕΛΛΑΔΑ 28·11·2025 02:55 Νέο παράθυρο Φωτιά σε διαμέρισμα τρίτου ορόφου στο Περιστέρι – Οι πυροσβέστες απεγκλώβισαν δύο ηλικιωμένες
ΚΟΣΜΟΣ 28·11·2025 02:38 Νέο παράθυρο Σε διαθεσιμότητα τέθηκαν ένας στρατηγός και ο επικεφαλής της υπηρεσίας πληροφοριών στην Κολομβία
ΚΟΣΜΟΣ 28·11·2025 02:10 Νέο παράθυρο Υπέκυψε στα τραύματά της η Εθνοφρουρός που τραυματίστηκε από πυροβολισμούς κοντά στον Λευκό Οίκο
ΑΘΛΗΤΙΚΑ 28·11·2025 01:56 Νέο παράθυρο Βαθμολογία UEFA: Καλή βραδιά για την Ελλάδα στις ευρωπαϊκές διοργανώσεις με τις νίκες της ΑΕΚ και του Παναθηναϊκού
ΚΟΣΜΟΣ 28·11·2025 01:32 Νέο παράθυρο Ποινή φυλάκισης άνω των 11 ετών στον πρώην πρόεδρο του Περού μετά την απόπειρα ανατροπής του Κογκρέσου
ΑΘΛΗΤΙΚΑ 28·11·2025 01:05 Νέο παράθυρο Νίκολιτς: «Θα πω μεγάλο μπράβο στους παίκτες – Ο Ζίνι ίσως μείνει εκτός για μια εβδομάδα»
ΑΘΛΗΤΙΚΑ 28·11·2025 00:46 1 Νέο παράθυρο Μπενίτεθ: Οι παίκτες είχαν πολύ καλή νοοτροπία και έδειξαν αφοσίωση – Κοιτάμε το μέλλον
ΑΘΛΗΤΙΚΑ 28·11·2025 00:38 1 Νέο παράθυρο Europa Conference League: Στη 10η θέση η ΑΕΚ και… βλέπει απευθείας πρόκριση στους «16»
LIFESTYLE 28·11·2025 00:35 Νέο παράθυρο Κατερίνα Γερονικολού: «Γενικά, δεν είμαι πολύ party animal – Πήγαινα, αλλά όχι πολύ… λίγο βαριόμουν»
ΑΘΛΗΤΙΚΑ 28·11·2025 00:26 Νέο παράθυρο Europa League: Στη 14η θέση ο Παναθηναϊκός, στη 17η ο ΠΑΟΚ – Βαθμολογία και επόμενοι αντίπαλοι
ΚΟΣΜΟΣ 28·11·2025 00:13 1 Νέο παράθυρο Δύο Παλαιστίνιοι σκοτώθηκαν εν ψυχρώ από ισραηλινούς στρατιώτες στη Δυτική Όχθη – Είχαν σηκώσει τα χέρια ψηλά
ΚΟΣΜΟΣ 28·11·2025 00:05 2 Νέο παράθυρο Όταν οι «Τρεις Μεγάλοι» όρισαν το τέλος των Ναζί – Το «μαύρο αστείο» του Στάλιν που έκανε έξαλλο τον Τσώρτσιλ
ΑΘΛΗΤΙΚΑ 28·11·2025 00:01 3 Νέο παράθυρο Φιορεντίνα – ΑΕΚ 0-1: Θρίαμβος με Γκατσίνοβιτς και φουλ για πρόκριση
ΑΘΛΗΤΙΚΑ 27·11·2025 23:55 11 Νέο παράθυρο Παναθηναϊκός – Στουρμ Γκρατς 2-1: Βήμα πρόκρισης με γκολάρα Καλάμπρια
ΚΟΣΜΟΣ 27·11·2025 23:50 Νέο παράθυρο Γερμάκ: Ο Ζελένσκι δεν πρόκειται να υπογράψει ειρηνευτική συμφωνία που θα περιλαμβάνει παραχώρηση εδαφών στη Ρωσία
ΚΟΙΝΩΝΙΑ 27·11·2025 23:36 18 Νέο παράθυρο Νέα Ερυθραία: Μετά το «ξέρετε ποιος είμαι εγώ;» μπήκαν οι χειροπέδες στον 20χρονο γιο του πρώην υπουργού
ΚΟΙΝΩΝΙΑ 27·11·2025 23:26 6 Νέο παράθυρο Τρόμος στα Πατήσια: Τα… ερωτικά ραντεβού με τις καλλίγραμμες Ασιάτισσες κατέληγαν σε εφιάλτη
ΚΟΣΜΟΣ 27·11·2025 23:22 3 Νέο παράθυρο Το Μουσείο του Λούβρου αυξάνει κατά 45% την τιμή εισόδου για ξένους επισκέπτες εκτός της ΕΕ
ΕΛΛΑΔΑ 27·11·2025 23:15 1 Νέο παράθυρο Εκτεταμένες ζημιές στη Μεσσηνία λόγω της κακοκαιρίας Adel – Ανεμοστρόβιλος χτύπησε τη Φοινικούντα
ΚΟΣΜΟΣ 27·11·2025 23:09 2 Νέο παράθυρο Σε εξέλιξη συνομιλίες για τους μαχητές της Χαμάς που παραμένουν εγκλωβισμένοι σε υπόγειες σήραγγες στη Γάζα
LIFESTYLE 27·11·2025 23:05 Νέο παράθυρο Μαρία Κίτσου: «Στην πρεμιέρα της πρώτης μου παράστασης κηδεύτηκε ο πατέρας μου – Έφυγε σε ενάμιση μήνα»
ΚΟΣΜΟΣ 27·11·2025 22:55 3 Νέο παράθυρο Ο εργαζόμενος που σκότωσε τον 15χρονο, εισάγοντας αέρα υψηλής πίεσης στον πρωκτό του, δημοσίευσε βίντεο για να δείξει ότι ήταν «φάρσα»
ΑΘΛΗΤΙΚΑ 27·11·2025 22:54 2 Νέο παράθυρο «Είναι ντροπή για τον ΠΑΟΚ να παίζει ο Τσάλοφ – Στο γκολ έκανε τον… δημόσιο υπάλληλο»!
ΚΟΣΜΟΣ 27·11·2025 22:50 7 Νέο παράθυρο Διοργανώνει γυμνές κρουαζιέρες και αποκαλύπτει τον σημαντικό κανόνα που πρέπει να ακολουθούν όλοι οι επιβάτες
ΑΘΛΗΤΙΚΑ 27·11·2025 22:49 1 Νέο παράθυρο Λουτσέσκου για την ισοπαλία του ΠΑΟΚ: Απογοητευτικό, δεχθήκαμε ένα «βρώμικο» γκολ
LIFESTYLE 27·11·2025 22:47 1 Νέο παράθυρο Ο βασιλιάς Κάρολος παρουσιάζει το Highgrove Evergreen English Whisky – Κοστίζει 100 λίρες Αγγλίας
ΕΛΛΑΔΑ 27·11·2025 22:45 1 Νέο παράθυρο Νέες σφραγίσεις καταστημάτων για παράνομα τραπεζοκαθίσματα στον Δήμο Αθηναίων
ΕΛΛΑΔΑ 27·11·2025 22:41 4 Νέο παράθυρο Εντυπωσιακές φωτογραφίες από την άσκηση «ΜΕΔΟΥΣΑ 14»: Κοινές επιχειρήσεις Ελλάδας – Αιγύπτου στην Αλεξάνδρεια
ON NET 27·11·2025 22:37 Νέο παράθυρο Οι μεγάλες αλλαγές που θα γίνουν στα γραφείο του αύριο – Τι θα καταργηθεί;
ΚΟΣΜΟΣ 27·11·2025 22:35 3 Νέο παράθυρο Τουρίστρια από την Ελβετία η νεαρή γυναίκα που κατασπάραξε καρχαρίας στην Αυστραλία
ΠΟΛΙΤΙΚΗ 27·11·2025 22:25 1 Νέο παράθυρο Qatargate: Νέα μαρτυρία φέρνει σε δύσκολη θέση την Εύα Καϊλή – Αποκαλύψεις για μετρητά για διαμέρισμα στις Βρυξέλλες
ΕΛΛΑΔΑ 27·11·2025 22:22 Νέο παράθυρο Κακοκαιρία Adel: Σε «κόκκινο συναγερμό» η Πολιτική Προστασία για Βόρειο Αιγαίο και Δωδεκάνησα – Σε ετοιμότητα και η Αττική
ΚΟΣΜΟΣ 27·11·2025 22:15 1 Νέο παράθυρο «Θα πεθάνουμε από το κρύο, μπαμπά;» – Πατέρας κατηγορείται για βασανισμό των παιδιών του, αφού τα πήρε μαζί σε επικίνδυνη πεζοπορία
ΑΘΛΗΤΙΚΑ 27·11·2025 22:09 Νέο παράθυρο Πολονάρα: Αποθεώθηκε στην επιστροφή του στο γήπεδο για την εθνική Ιταλίας
ΕΛΛΑΔΑ 27·11·2025 22:05 1 Νέο παράθυρο Κλήρωση Τζόκερ 27/11/2025: Αυτοί είναι οι αριθμοί που κερδίζουν 2.200.000 ευρώ