Εκτός από την περιαρθρίτιδα, τον «παγωμένο ώμο», υπάρχουν και άλλες βλάβες στην περιοχή του ώμου που οφείλεται σε αλλοιώσεις των χόνδρων, των συνδέσμων και των τενόντων της περιοχής.

Γράφει ο Ιωάννης Η. Βλάχος, ορθοπαιδικός-χειρουργός
1. Αρθρίτιδα του ώμου
Η αρθρίτιδα του ώμου μπορεί να οφείλεται σε χρόνιες βλάβες των τενόντων του ώμου (ονομάζεται στροφικό πέταλο και είναι κυρίως ο υπερακάνθιος τένοντας) ή σε παλιές κακώσεις και κατάγματα που έμειναν χωρίς καλή αντιμετώπιση.

Στην αρθρίτιδα καταστρέφεται ο χόνδρος της άρθρωσης, έρχεται σε επαφή κόκκαλο με κόκκαλο και εκτός του πόνου χάνεται και η κινητικότητα της άρθρωσης του ώμου. Ο ασθενής δυσχεραίνεται στην καθημερινότητά του.
Δυσκολεύεται να ντυθεί, να ξυριστεί, χτενιστεί. Η διάγνωση τίθεται με την εξέταση (δεν γίνονται οι φυσιολογικές κινήσεις, άνοιγμα και στροφές) και επιβεβαιώνεται με την ακτινογραφία (όχι μαγνητική) που δείχνει και το βαθμό της βλάβης.

Η αρθρίτιδα του ώμου αντιμετωπίζεται μόνο χειρουργικά εφόσον προκαλεί πόνο και δυσχεραίνει την καθημερινότητα του ατόμου. Η ενδεδειγμένη εγχείρηση είναι η ολική αρθροπλαστική που ονομάζεται «ανάστροφη» λόγω της κατασκευής της. Αποδίδει ένα χέρι πολύ πιο λειτουργικό από πριν και ανώδυνο στην κίνηση.

2. Βλάβη του επιχειλίου χόνδρου
Σημαίνει ρήξη του χόνδρου της ωμογλύνης. Η ωμογλύνη είναι η κοιλότητα που υποδέχεται την κεφαλή του βραχιονίου, όπως η λεκάνη (κοτύλη) υποδέχεται την κεφαλή του μηριαίου για να υπάρχει κίνηση. Όμως η ωμογλύνη είναι εκ κατασκευής αβαθής. Για να αυξηθεί ο χώρος της, έχει ένα χόνδρο που την περιβάλλει. Αυτός ο χόνδρος μπορεί σε ακραίες και απότομες κινήσεις (άθληση ή πτώση) να υποστεί ρήξη.

Εάν η ρήξη είναι μικρή αντιμετωπίζεται με ασκήσεις. Εάν είναι μεγάλη (φαίνεται στο υπέρηχο και στη μαγνητική τομογραφία) χρειάζεται αρθροσκοπική συρραφή (καθήλωση).
3. Ρήξη του υπερακανθίου
Όπως έχει αναφερθεί η ρήξη του υπερακανθίου τένοντα εκδηλώνεται με συμπτώματα περιαρθρίτιδας. Στη μερική ρήξη (φαίνεται στο υπέρηχο ή την μαγνητική τομογραφία) η συντηρητική θεραπεία αρκεί για να ιαθεί (ασκήσεις ενδυνάμωσης).

Στις μεγάλες όμως ή ολικές ρήξεις, χρειάζεται εγχείρηση (αρθροσκόπηση ή μικρή τομή) για να γίνει συρραφή. Εάν παραμείνει χωρίς αντιμετώπιση, η πλήρης ρήξη οδηγεί σε αρθρίτιδα που θα χρειασθεί μεγαλύτερο χειρουργείο.
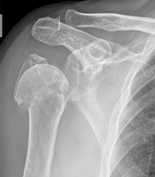
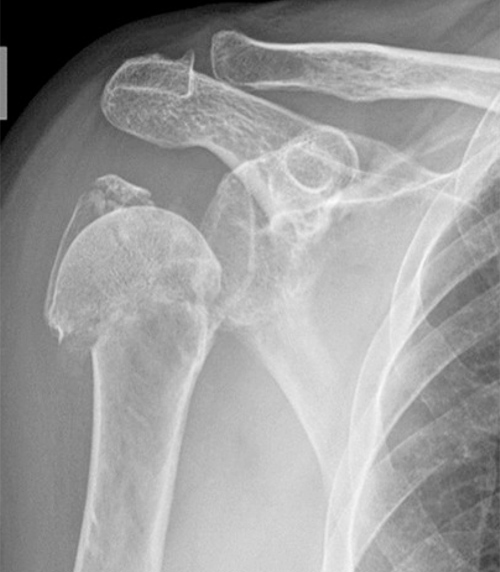
4. Εξάρθρημα της ακρωμιοκλειδικής
Όπως λέει η λέξη, πρόκειται για εξάρθρημα μιας άρθρωσης μικρής (που δεν έχει κίνηση) αλλά συγκρατεί την κλείδα με την ωμοπλάτη. Αυτό συμβαίνει σε πτώσεις με άμεση πλήξη του ώμου (έπεσα επάνω στον ώμο μου). Είναι εμφανής γιατί «πετάγεται» η άκρη της κλείδας στην πλευρά της κάκωσης

Έλεγχος
Εάν πιέσουμε το σημείο που προβάλλει, αυτό «ανεβοκατεβαίνει» σαν να πατάμε «πλήκτρο πιάνου». Φαίνεται και στην ακτινογραφία που τίθεται η διάγνωση.
Σε μεγαλύτερης ηλικίας άτομα, δεν έχει σημασία. Σε νέα άτομα και μάλιστα αθλητές, χρειάζεται ανάταξη και συρραφή (εγχείρηση). Ο μετεγχειρητικός χρόνος υπολογίζεται σε 6-8 εβδομάδες ακινητοποίησης. Δεν αφήνει καμιά αναπηρία.
5. Υπεξάρθρημα στερνοκλειδικής
Είναι μία αρκετά συχνή βλάβη σε γυναίκες μετά την εμμηνόπαυση, όπου εμφανίζεται μία διόγκωση στη μία πλευρά του στέρνου, χωρίς συνήθως να προϋπάρξει κάποια βίαιη κίνηση. Προκαλεί ανησυχία λόγω της παραμόρφωσης πάνω από το στήθος.

Δεν χρειάζεται αντιμετώπιση. Αν προκαλέσει πόνο, μπορεί να αντιμετωπισθεί με ένεση κορτιζόνης.
6. Κάταγμα-εξάρθρημα του ώμου
Στη διάρκεια ενός πεσίματος και βάζοντας το χέρι για να προστατευθούμε, αντί να συμβεί κάταγμα στον καρπό (βλέπε κάταγμα καρπού) συμβαίνει συχνά κάταγμα στον ώμο, δηλαδή στην κεφαλή του βραχιονίου οστού

Ο τραυματισμένος νοιώθει ισχυρό πόνο στον ώμο και αδυνατεί να κάνει τις φυσιολογικές κινήσεις του ώμου, δηλαδή άρση και στροφές

Το κυριότερο σύμπτωμα είναι ότι κρατάει το χέρι κολλημένο στο σώμα του.
Έλεγχος
Προσπαθώντας ν΄ ανοίξουμε το χέρι από τον καρπό, ο τραυματισμένος πονάει πολύ και μερικές φορές ακούει και «κριγμό» από το σπασμένο κόκκαλο. Άρα έχει κάταγμα.
Αντιμετώπιση
Όταν θεωρήσουμε με τον έλεγχο που κάνουμε ότι είναι κάταγμα, χρειάζεται ακινητοποίηση. Κρεμάμε το χέρι σ΄ ένα μαντήλι (προσέχουμε ο αγκώνας να βρίσκεται χαμηλότερα από το χέρι – δηλαδή το χέρι να βλέπει τον απέναντι μαστό) και σταθεροποιούμε το κρεμασμένο χέρι με μια ζώνη γύρω από τον θώρακα.
Πηγαίνουμε σε νοσοκομείο για ακτινογραφία.
Εάν το κάταγμα δεν έχει «φύγει» από τη θέση του, χρειάζεται να είναι κρεμασμένο για έξι εβδομάδες.
Κάνουμε όμως αιωρήσεις όπως στην περιαρθρίτιδα (1.000 την ημέρα) για να μην πάθει ο ώμος αγκύλωση.

Εάν το κάταγμα έχει «φύγει» χρειάζεται εγχείρηση. Σήμερα υπάρχουν μοντέρνοι τρόποι αντιμετώπισης των καταγμάτων του ώμου με πολύ μικρή τομή και άμεση κινητοποίηση του χεριού.

Στο εξάρθρημα, η κεφαλή του βραχιονίου «βγαίνει» από τη θέση της. Συνήθως όχι σε πτώση αλλά σε τράβηγμ, ή σε υπερβολική έξω στροφή (π.χ. όταν προσπαθεί το χέρι σε ανάταση ν΄αποκρούσει μπάλλα). Στο εξάρθρημα του ώμου το χέρι ο τραυματίας δεν το κρατάει «κολλημένο» στο σώμα του. Το κρατάει σε απόσταση και ο πόνος είναι αφόρητος.

Στον έλεγχο δεν μπορούμε να το φέρουμε ν΄ ακουμπήσει στον κορμό, ενώ γυρίζει με σχετικό πόνο. Χαρακτηριστικό του εξαρθρήματος είναι ότι λείπει η «στρογγυλάδα» του ώμου.
Το εξάρθρημα (όταν είμαστε βέβαιοι από την εξέταση) χρειάζεται άμεση ανάταξη. Αυτό γίνεται εύκολα τις πρώτες ώρες και όσο παρέρχεται ο χρόνος καθίσταται δυσκολότερο.
Ξαπλώνουμε τον τραυματία γυμνό από τη μέση κι επάνω, ανάσκελα ώστε το χέρι του βρίσκεται εντός κρεβατιού.
Συγκρατούμε το χέρι στη θέση που τον ανακουφίζει, δηλαδή μακριά από το σώμα του και αρχίζουμε να γυρίζουμε αργά το χέρι προς τα πίσω (προς το κεφάλι).
Τον βεβαιώνουμε ότι δεν θα πονέσει, για να παραμείνει ήρεμος και συνεργάσιμος. Το χέρι πρέπει να γυρίσει πίσω μέχρι να φτάσει κάτω από το επίπεδο του σώματος. Ο αγκώνας κρατιέται σε ορθή γωνία. Όταν το χέρι φτάσει σ΄ αυτή τη θέση, ασκούμε έλξη με τα δυο μας χέρια και φέρνουμε το χέρι απότομα πίσω προς το σώμα, ενώ την ίδια στιγμή κάποιος που βοηθάει πιέζει με το χέρι του στην πρόσθια επιφάνεια του ώμου όπου η εξαρθρωμένη κεφαλή είναι ψηλαφητή

Φέρνοντας το χέρι απότομα προς τα μέσα και κάτω, ενώ ο βοηθός πιέζει την κεφαλή, ακούγεται ένας «γδούπος»: η κεφαλή μπαίνει στη θέση της και ο αγωνιώδης πόνος του τραυματία περνάει απότομα. Οπτικά επανέρχεται η «στρογγυλάδα» του ώμου που είχε χαθεί. Στη συνέχεια το χέρι ακινητοποιείται στον θώρακα, για έξι εβδομάδες.

Αυτό είναι απαραίτητο για να μην ξανασυμβεί (καθ΄ έξην εξάρθρημα του ώμου). Στο καθ΄ έξην εξάρθρημα ο ώμος βγαίνει με το παραμικρό, π.χ. αν βάλουμε το χέρι κάτω από το μαξιλάρι. Το καθ΄ έξην εξάρθρημα θεραπεύεται μόνο χειρουργικά (με αρθροσκόπηση). Χρειάζεται μετεγχειρητικά πάλι έξι εβδομάδες ακινητοποίηση και δώδεκα εβδομάδες φυσιοθεραπεία.
Λέξεις κλειδιά:
– αρθρίτιδα ώμου
– βλάβη επιχειλίου χόνδρου
– ανάστροφη αρθροπλαστική ώμου
– ρήξη υπερακανθίου
– κάταγμα κεφαλής βραχιονίου
– εξάρθρημα κεφαλής βραχιονίου
– εξάρθρημα ακρωμιοκλειδικής
– εξάρθρημα στερνοκλειδικής
– αρθροσκόπηση ώμου
* Το παραπάνω θέμα του newsbeast.gr αποτελεί μέρος της συλλογής «100 ερωτήσεις και 100 απαντήσεις» για ορθοπεδικά θέματα για τα σημαντικότερα προβλήματα που μας απασχολούν Κάθε Πέμπτη θα μπορείτε να μαθαίνετε για κάθε ορθοπεδικό πρόβλημα τα αίτια, τα συμπτώματα, την διάγνωση, τον έλεγχο και την θεραπεία. Επιπροσθέτως μπορείτε μέσα από τον μηχανισμό των σχολίων να θέτετε τα δικά σας ερωτήματα.