Για άλλη μια χρονιά, ο διαγωνισμός Art of Science (η τέχνη της επιστήμης) του Πανεπιστημίου Πρίνστον στο Νιου Τζέρσεϋ των ΗΠΑ, εκπλήσσει με τις πανέμορφες εικόνες που προέρχονται από τον κόσμο γύρω μας. Δείτε τις τρεις εικόνες που επέλεξε η επιτροπή και τις αντίστοιχες που επέλεξε ο κόσμος.
Πρώτη θέση (Επιτροπή)
Ανατολικά-Δυτικά, Δυτικά-Ανατολικά
Martin Jucker
Πρόγραμμα Ατμοσφαιρικών και Ωκεανικών επιστημών

Οι άνεμοι του πλανήτη μας συνήθως κατευθύνονται είτε από τα δυτικά προς τα ανατολικά είτε από τα ανατολικά προς τα δυτικά και πολύ λιγότερο στις κατευθύνσεις βορρά – νότου. Ως αποτέλεσμα, τα ατμοσφαιρικά φαινόμενα ταξιδεύουν ανά τον κόσμο, ανταλλάσσοντας εύκολα πληροφορίες ανάμεσα στα πιο απομακρυσμένα άκρα του πλανήτη. Στην εικόνα βλέπουμε τους μέσους όρους των «επιφανειών» που σχηματίζει ο αέρας στη Γη. Το μπλε αντιπροσωπεύει τους ανέμους που ταξιδεύουν από τα ανατολικά προς τα δυτικά και το κόκκινο αυτούς που κατευθύνονται από τα δυτικά στα ανατολικά.
Δεύτερη θέση (Επιτροπή)
Συντετριμμένη σημύδα
Michael Kosk
Σχολείο Woodrow Wilson

Η πυκνή κυτταρική δομή του ξύλου είναι αυτή που εν μέρει το προστατεύει από τα μικρόβια που διασπούν την κυτταρίνη και που προκαλούν τη σήψη. Εδώ διαλύσαμε την κυτταρική δομή της σημύδας καταφεύγοντας στη δύναμη των μηχανών, συντρίβοντάς τη και λυγίζοντας τις διαδρομές της κυτταρίνης, οι οποίες κανονικά θα ήταν υπεύθυνες για τη διανομή του νερού και των θρεπτικών ουσιών στο υπόλοιπο δέντρο.
Τρίτη θέση (Επιτροπή)
Δίκτυο τέχνης και επιστήμης
Paul Csogi (υπεύθυνος τοποθεσίας) και Chris Cane (υπεύθυνος τοποθεσίας)
Κέντρο Τεχνών Lewis και Εργαστήριο Φυσικής Πλάσματος του Princeton

Τοποθετήσαμε τις κεντρικές σελίδες των αντίστοιχων ιστοσελίδων μας σε έναν αναλυτή HTML και σε διασυνδετική διάταξη HTML. Αυτά τα σχήματα που μοιάζουν με κέντημα μας δίνουν μια εικόνα των ομοιοτήτων και των διαφορών ανάμεσα σε μια ιστοσελίδα που ασχολείται με τις επιστήμες και σε μια που ασχολείται με τις τέχνες. Το Εργαστήριο Φυσικής Πλάσματος του Πρίνστον αναπαρίσταται πάν αριστερά. Το Κέντρο Τεχνών Lewis κάτω δεξιά. Κάθε χρώμα αντιπροσωπεύει τα εξής:
Μπλε: για τα links, πράσινο: για την ετικέτα DIV, μωβ: για τις εικόνες, κίτρινο: για τις φόρμες, πορτοκαλί: οι χαρακτήρες αλλαγής γραμμής και οι παραθέσεις, μαύρο: ο κώδικας HTML, γκρι: όλοι οι άλλοι κώδικες.
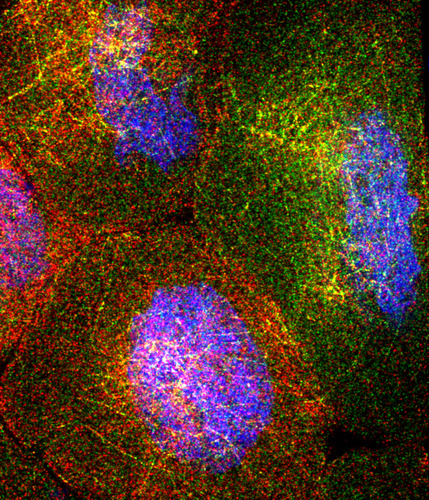
Πρώτη θέση (κόσμος)
Δίκτυο γενετικής πληροφορίας
Shawn C. Little, Kristina S. Sinsimer , Elizabeth R. Gavis και Eric F. Wieschaus
Τμήμα Μοριακής Βιολογίας

Η ωοθήκη της μύγας των φρούτων αποτελείται από περίπου 100 θύλακες αυγών. Κάθε θύλακας περιέχει 15 «κύτταρα-τροφούς». Αυτά περιβάλλουν το ωοκύτταρο που τελικά θα γίνει μια μικρή μύγα των φρούτων. Τα κύτταρα-τροφοί συνθέτουν τα μόρια RNA που τοποθετούνται στο ωοκύτταρο.
Εδώ βλέπουμε τέσσερα κύτταρα-τροφούς. Κάθε κόκκινη ή πράσινη τελεία είναι ένα ξεχωριστό μόριο RNA, το οποίο παράγεται από DNA (εδώ με μπλε χρώμα). Τα μόρια RNA συνενώνονται σε ένα νηματοειδές δίκτυο που τους επιτρέπει να κινούνται από το ένα κύτταρο-τροφό στο άλλο και ύστερα στο αναπτυσσόμενο αυγό (που δε φαίνεται εδώ).
Δεύτερη θέση (κόσμος)
Γεφυρώνοντας το χάσμα
Jason Wexler και Howard A. Stone
Τμήμα Μηχανικής και Αεροναυπηγικής Μηχανικής

Όταν σταγόνες υγρού παγιδεύονται σε ένα στενό κενό ανάμεσα σε δύο στερεά, αναπτύσσεται μέσα στις σταγόνες μια ισχυρή αρνητική πίεση. Αν τα στερεά είναι εύκαμπτα, η διαδικασία αυτή τα παραμορφώνει για να κλείσουν το κενό. Στο πείραμα αυτό τα στερεά είναι διαφανή, πράγμα που μας επιτρέπει να φανταστούμε τις σταγόνες από πάνω. Οι εναλλασσόμενες σκοτεινές και φωτεινές γραμμές προκαλούνται από την παρεμβολή του φωτός, που είναι το ίδιο φαινόμενο με τα ουράνια τόξα που εμφανίζονται πάνω στο πετρέλαιο. Οι μπλε περιοχές αναπαριστούν την έκταση των σταγόνων. Μιας και οι σταγόνες προκαλούν την κάλυψη του κενού, οι περιοχές του μέγιστου ύψους κενού είναι μέσα στις σταγόνες, στο κέντρο των ομόκεντρων κύκλων.
Τρίτη θέση (κόσμος)
Μέδουσα
Jamie Barr και Cliff Brangwynne
Τμήματα Χημικής και Βιολογικής Μηχανικής και Μοριακής Βιολογίας

Αυτός ο φωτεινός όγκος σκουληκιών θυμίζει τα φοβερά φίδια που στεφάνωναν το κεφάλι του μυθολογικού τέρατος Μέδουσα. Αλλά, σε αντίθεση με τα φίδια της Μέδουσας, τα σκουλήκια αυτά κόλλησαν κατά τη διάρκεια ενός πειράματος που αποσκοπούσε στην κατανόηση του πώς τα μόρια καθορίζουν το μέγεθος των κυττάρων και των οργανισμών.
Τα σκουλήκια καινοραβδίτες είναι διαφανή, πράγμα που τα καθιστά ιδανικά για μικροσκόπηση φθορισμού. Αυτή η εικόνα έχει όλα τα στοιχεία του κεντρικού δόγματος της βιολογίας: DNA (με μπλε χρώμα) και προεπεξεργασμένο ριβοσωμικό RNA (με κόκκινο), ενώ τα σκουλήκια είναι γεμάτα πρωτεΐνη (με πράσινο).