Ένας άνδρας με αμυοτροφική πλευρική σκλήρυνση (ALS) στην Αυστραλία έγινε ο πρώτος άνθρωπος που ανέβασε ένα μήνυμα στο Twitter μέσω άμεσης σκέψης χάρη σε ένα μικροσκοπικό εμφύτευμα στο μέγεθος ενός συνδετήρα, το οποίο έχει τοποθετηθεί στον εγκέφαλό του.
Ο 62χρονος Philip O’Keefe, 62 ετών, λόγω της ασθένειάς του δεν μπορεί να κινήσει τα άνω άκρα του. Ωστόσο ένα μήνυμα που γέμισε αισιοδοξία όλων τον κόσμο εμφανίστηκε στο στο Twitter: «Δεν χρειάζονται πλήκτρα ή φωνές. Δημιούργησα αυτό το tweet απλώς με το να το σκεφτώ. #helloworldbci»
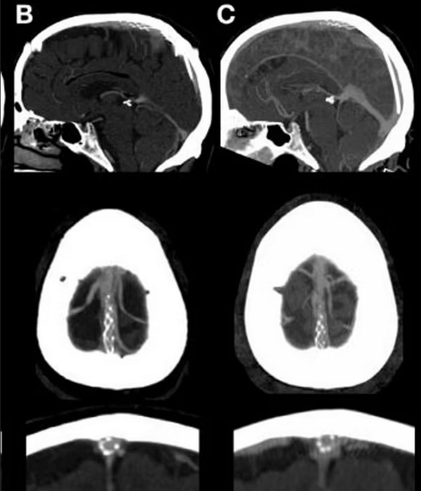
Διαγνώστηκε με ALS, μια μορφή νόσου του κινητικού νευρώνα, το 2015 και μετέτρεψε με επιτυχία την άμεση σκέψη του σε κείμενο χρησιμοποιώντας τη διεπαφή εγκεφάλου Stentrode (BCI) στις 23 Δεκεμβρίου.
Η διεπαφή, που δημιουργήθηκε από την Synchron με έδρα την Καλιφόρνια – μια εταιρεία νευροαγγειακής βιοηλεκτρονικής ιατρικής – επιτρέπει στους ασθενείς να εκτελούν εργασίες σε έναν υπολογιστή χρησιμοποιώντας μόνο το μυαλό τους.
Τα πρώτα tweet με τη δύναμη της σκέψης
Ο κ. O’Keefe είπε: «Όταν άκουσα για πρώτη φορά για αυτήν την τεχνολογία, ήξερα πόση ανεξαρτησία θα μπορούσε να μου δώσει πίσω.
«Το σύστημα είναι εκπληκτικό, είναι σαν να μαθαίνεις να οδηγείς ποδήλατο – θέλει εξάσκηση, αλλά μόλις το συνηθίσεις, γίνεται φυσικό. Τώρα, απλώς σκέφτομαι πού θέλω να κάνω κλικ στον υπολογιστή και μπορώ να στείλω email, να κάνω δουλειές με την τράπεζα, να ψωνίσω και τώρα να στείλω μηνύματα στον κόσμο μέσω Twitter.»
Για να μοιραστεί τα νέα, ανέλαβε τη διαχείριση του Twitter του Διευθύνοντος Συμβούλου της Synchron, Thomas Oxley, χρησιμοποιώντας το hashtag #HelloWorldBCI.
Στόχος του κ. O’Keefe ήταν να μοιραστεί την εμπειρία του από την ανάκτηση ενός μέρους της ανεξαρτησίας τους με τον κόσμο και να προσφέρει έμπνευση για το μέλλον.
«Ελπίζω ότι ανοίγω το δρόμο στους ανθρώπους να κάνουν tweet μέσα από σκέψεις», ήταν η τελική του δήλωση.
Έλαβε το εμφύτευμα τον Απρίλιο του 2020 μετά από προοδευτική παράλυση που προκλήθηκε από ALS και η οποία τον άφησε ανίκανο να κινήσει τα άνω άκρα του και να είναι ανεξάρτητος.
Έκτοτε χρησιμοποιεί την τεχνολογία για να επανασυνδεθεί με την οικογένειά του και τους συναδέλφους του – συνεχίζοντας τις ανταλλαγές email και συμμετέχοντας ενεργά στη συμβουλευτική του εταιρεία αλλά και σε άλλα επιχειρηματικά του έργα.
Πώς λειτουργούν τα εμφυτεύματα

Χρησιμοποιώντας τη διεπαφή υπολογιστή εγκεφάλου Stentrode, οι ασθενείς πέτυχαν μέση ακρίβεια στα κλικ τιυς στον υπολογιστή κλικ 92%-93% και ταχύτητες πληκτρολόγησης 14 και 20 χαρακτήρων ανά λεπτό – χωρίς να σηκώσουν το δάχτυλό τους.
Η ομάδα χρησιμοποιεί τα αιμοφόρα αγγεία ως φυσικό δρόμο προς τον εγκέφαλο, τα οποία είναι εφοδιασμένα με αισθητήρες που καταγράφουν τη δραστηριότητα.
Αυτά τα σήματα αποστέλλονται στη συνέχεια μέσω μιας μονάδας τηλεμετρίας σε έναν μικρό υπολογιστή που είναι κολλημένος με ταινία στο στήθος του ασθενούς, ο οποίος ερμηνεύει ποιες ενέργειες θέλει να κάνει το άτομο στον κοντινό υπολογιστή, όπως αποστολή μηνυμάτων, email και αγορές μέσω Διαδικτύου.
Η συσκευή Stentrode μήκους 40 χιλιοστών είναι μικρή και ευέλικτη, επιτρέποντάς της να περνά με ασφάλεια μέσα από καμπυλωτά αιμοφόρα αγγεία στον εγκέφαλο.

Η ομάδα σημειώνει ότι η διαδικασία είναι παρόμοια με αυτή ενός βηματοδότη και δεν απαιτεί ανοιχτή εγχείρηση εγκεφάλου.
Μόλις εμφυτευθεί το τσιπ, οι αισθητήρες τοποθετούνται μέσα από τα αγγεία και εισάγονται σε μια εσωτερική μονάδα τηλεμετρίας που συνδέεται με έναν ασύρματο πομπό κολλημένο με ταινία στο στήθος του ασθενούς.
Η εγκεφαλική δραστηριότητα συλλέγεται από τους αισθητήρες, και αποστέλλεται στον πομπό που τους ερμηνεύει σε εργασίες στον υπολογιστή. Το σύστημα περιλαμβάνει επίσης ένα eye-tracker για την πλοήγηση του δρομέα στην οθόνη του υπολογιστή.