Στο Mega και μέσα από το δωμάτιο του νοσοκομείου Γεννηματάς, όπου εξακολουθεί να νοσηλεύεται μίλησε ο άνθρωπος που χθες καθώς έπινε αμέριμνος τον καφέ του στο μπαλκόνι του σπιτιού του στα Άνω Λιόσια τραυματίστηκε από αδέσποτη σφαίρα.
«Έπαθα μεγάλο σοκ γιατί κατευθείαν μου ήρθε ότι θα μπορούσε να με βρει στο κεφάλι, να μη ζούσα δηλαδή», με αυτά τα λόγια περιέγραψε ο Αποστόλης Χριστακόπουλος τον τραυματισμό του.
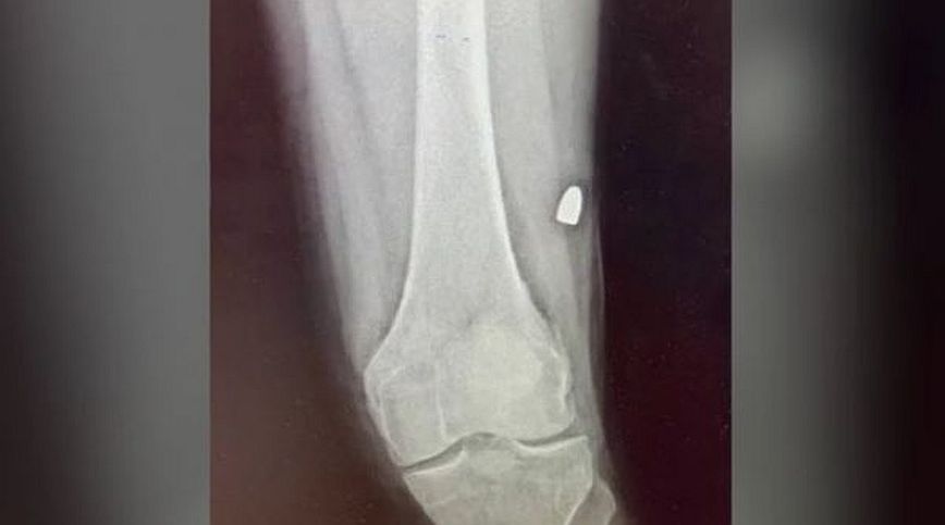
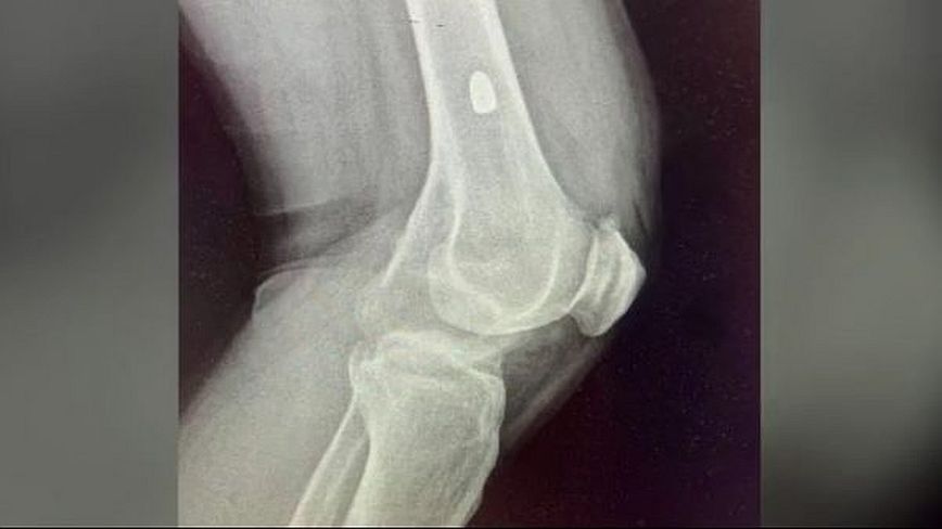
Η αδέσποτη σφαίρα από πυρά ασυνείδητου καρφώθηκε στο γόνατό του Αποστόλη Χριστακόπουλου με τον ίδιο πάντως να νιώθει τυχερός μέσα στην ατυχία του καθώς η σφαίρα θα μπορούσε να τον έχει βρει στο κεφάλι.
«Άκουσα 3 πυροβολισμούς. Εκείνη την ώρα έσκυβα και έπινα τον καφέ. Με το που σηκώνω το κεφάλι μου, ξαφνικά αισθάνομαι τη σφαίρα εδώ, με τρύπησε, έτρεχε το αίμα, πανικοβλήθηκα», είπε
Χωρίς να χάσουν χρόνο, ο συγκάτοικός του και οι γείτονες ειδοποίησαν Αστυνομία και ΕΚΑΒ.
Το θύμα εκτιμά ότι οι πυροβολισμοί προήλθαν από το Ζεφύρι, εκεί όπου ανά τακτά χρονικά διαστήματα γίνονται γλέντια και οι γνωστοί άγνωστοι πυροβολούν εντός κατοικημένης περιοχής αδιαφορώντας για τις συνέπειες.
Μάλιστα, το σπίτι του άτυχου άνδρα απέχει λίγα μέτρα από το αστυνομικό τμήμα της περιοχής και μια «ανάσα» από πλατεία όπου καθημερινά παίζουν μικρά παιδιά.
«Επιτέλους να κοιτάξουν οι αρμόδιες Αρχές να διερευνήσουν ποιος έχει όπλα. Έχουν άδεια; Γιατί πυροβολούν ανεξέλεγκτα; Να φοβόμαστε να κάτσουμε έξω σπίτι μας;», συμπληρώνει ο κ. Χριστακόπουλος.
Το θύμα παραμένει στην ορθοπεδική κλινική του νοσοκομείου Γεννηματάς από την Παρασκευή το απόγευμα. Σήμερα, Κυριακή υπεβλήθη σε χειρουργείο.
Το MEGA δημοσίευσε και φωτογραφία που δείχνει τη σφαίρα των εννέα χιλιοστών μέσα στο σώμα του θύματος.


Οι γιατροί την αφαίρεσαν και την έστειλαν στα εγκληματολογικά εργαστήρια της ΕΛ.ΑΣ.
Ο Αποστόλης Χριστακόπουλος είχε βρει καρφωμένη σφαίρα στο σπίτι του και το 2019. Μετά από όσα πέρασε, είναι έτοιμος να κινηθεί νομικά. Όπως λέει, πρέπει να μπει ένα τέλος στην ανομία ενισχύοντας το αίσθημα της ασφάλειας στους κατοίκους.