Τα κατάγματα της κνήμης είναι αρκετά συχνά γιατί το οστούν είναι εκτεθειμένο στις άμεσες κακώσεις επειδή στερείται μυϊκώς επαρκούς κάλυψης (κτυπήματα στο «καλάμι»). Συνήθως το κάταγμα της κνήμης συνοδεύεται από κάταγμα της περόνης, το οποίο όμως είναι άνευ σημασίας.

Γράφει ο Ιωάννης Η. Βλάχος, ορθοπαιδικός-χειρουργός
Τι είναι

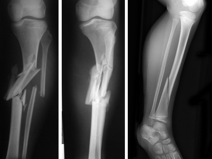
Τα κατάγματα της κνήμης διαιρούνται σε δύο είδη:
α) τα οφειλόμενα σε βαρεία κάκωση (π.χ. τροχαία) οπότε είναι και συντριπτικά και
β) τα οφειλόμενα σε στροφική κάκωση, τα ονομαζόμενα σπειροειδή.

Πώς διαγιγνώσκεται
Τα κατάγματα της κνήμης και ειδικότερα τα συντριπτικά έχουν χαρακτηριστική εμφάνιση. Το σκέλος έχει μεγάλη παραμόρφωση, μεγάλο οίδημα και παραφύσιν κίνηση (κουνιέται προς όλες τις κατευθύνσεις) προκαλείται οξύς πόνος!

Στο σπειροειδές κάταγμα αντίθετα, μοιάζει να είναι το σκέλος σταθερό, χωρίς παραμόρφωση του άξονα, απλώς φαίνεται στην περιοχή του κατάγματος η κνήμη διογκωμένη από το δηγιουργηθέν αιμάτωμα.

Πώς αντιμετωπίζεται
Το κάταγμα της κνήμης χρειάζεται άμεση ακινητοποίηση (σταθεροποίηση) με νάρθηκα. Ένας απλός νάρθηκας είναι με δημιουργία ενός κυλίνδρου από σκληρό χαρτόνι και ενίσχυση με ξυλαράκια, να κρατιέται το σκέλος (κόκκαλο) ακίνητο. Τα συντριπτικά κατάγματα από τροχαίο ατύχημα συνήθως είναι επιπεπλεγμένα. Δηλαδή έχει ανοίξει το δέρμα και έχει πεταχτεί το σπασμένο οστούν προς τα έξω. Σ’ αυτή την περίπτωση και εάν το προβάλλον οστούν είναι ρυπαρό, με άφθονο νερό ξεπλένουμε το οστούν και τραβώντας το πόδι, προσπαθούμε να επαναεισχωρήσει μέσα στο δέρμα. Καλύπτουμε το τραύμα μ΄ ένα καθαρό πανί και προχωρούμε σε ακινητοποίηση με νάρθηκα.

Το κάταγμα αυτού του είδους είναι πολύ βαρεία κάκωση και χρειάζεται άμεση νοσοκομειακή κάλυψη. Μπορεί να οδηγήσει ακόμη και σε ακρωτηριασμό του σκέλους. Μια αρκετά συχνή επιπλοκή εκτός από την μόλυνση λόγω του ανοικτού τραύματος, είναι και το σύνδρομο διαμερίσματος.

Τα κατάγματα αυτά (ανοικτά-επιπεπλεγμένα) συνήθως αντιμετωπίζονται με ακινητοποίηση με σύστημα εξωτερικής οστεοσύνθεσης. Τα κλειστά κατάγματα της κνήμης αντιμετωπίζονται με ενδομυελική ήλωση.

Τα σπειροειδή αντιθέτως κατάγματα, είναι καλοήθη. Επειδή έχουν μεγάλη επιφάνεια επαφής, πωρώνονται (κολλάνε) ταχέως. Συνήθως χρειάζεται μια βραχεία ακινητοποίηση σε νάρθηκα (3 εβδομάδες) και κατόπιν ένα νάρθηκα τύπου Sarmiento με τον οποίο ο αρχίζει ασθενής να βαδίζει φορτίζοντας μερικώς το σκέλος. Με τον τρόπο αυτό ευοδώνεται η πώρωση και το κάταγμα έχει κολλήσει μέσα σε 6 εβδομάδες.
Κάθε ασθενής με κάταγμα κνήμης πρέπει να υποβάλλεται σε αντιπηκτική θεραπεία με ενέσεις ηπαρίνης χαμηλού μοριακού βάρους, για το χρόνο ακινητοποίησης (περίπου 6 εβδομάδες) για αποφυγή πνευμονικής εμβολής, όπως και κάθε κάταγμα των κάτω άκρων (υποκεφαλικό, διατροχαντήριο, μηριαίου, γόνατος, ποδοκνημικής).
Λέξεις κλειδιά:
– κάταγμα κνήμης
– κάταγμα περόνης
– συντριπτικό κάταγμα
– σπειροειδές κάταγμα
– ανοικτό κάταγμα
– επιπεπλεγμένο κάταγμα
– σύνδρομο διαμερίσματος
– Sarmiento
– εξωτερική οστεοσύνθεση
– ενδομυελική δήλωση