Γιατροί από το Λίβανο βρήκαν μια απίστευτα σπάνια πέτρα κόλπου, σε μέγεθος πορτοκαλιού, σφηνωμένη στη λεκάνη μιας γυναίκας. Μια πρόσφατη μελέτη, που δημοσιεύτηκε στο Urology Case Reports, έδειξε τη συγκεκριμένη περίπτωση, που αφορούσε σε μια 27χρονη κατάκοιτη γυναίκα με εγκεφαλική παράλυση.
Οι πέτρες στον κόλπο μπορούν να σχηματιστούν με δύο τρόπους: Όταν η συσσώρευση ούρων στον κόλπο κρυσταλλώνεται ή όταν μια μη θεραπευμένη βακτηριακή λοίμωξη προκαλεί τη σκλήρυνση των ούρων. Στη συγκεκριμένη περίπτωση της 27χρονης, δεν διαπιστώθηκε βακτηριακή λοίμωξη και η στασιμότητα των ούρων ήταν η κύρια αιτία.
Η γυναίκα είχε ιστορικό ακράτειας ούρων, η οποία είναι συχνή σε άτομα με εγκεφαλική παράλυση.
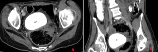
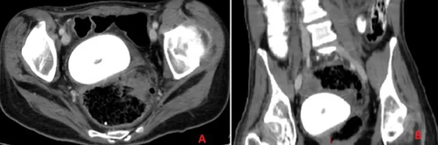
Τα συμπτώματα παρατηρήθηκαν τρεις ημέρες πριν η ασθενής μεταφερθεί εσπευσμένα στη ΜΕΘ. Είχε πυρετό, ρίγη, εμετούς, πόνους στην κοιλιά και μειωμένη όρεξη. Η αξονική τομογραφία σε λεκάνη και στην κοιλιά αποκάλυψε τον λόγο.

Οι κολπικές πέτρες «σχηματίζονται από την εναπόθεση ανόργανων αλάτων από στάσιμα ούρα μέσα στον κόλπο», σύμφωνα με τους γιατρούς. Λόγω της σπανιότητας της πάθησης συχνά γίνονταν λανθασμένες διαγνώσεις στο παρελθόν.
Το μέγεθος ήταν τόσο μεγάλο που πίεζε την ουροδόχο κύστη της γυναίκας, κάτι που οδήγησε σε ακόμη μεγαλύτερη διαρροή ούρων. Γιατροί από το Πανεπιστήμιο του Λιβάνου στη Βηρυτό διέλυσαν τον σχηματισμό της πέτρας με θεραπεία λέιζερ μέσω κρουστικών κυμάτων υπερήχων από μια συσκευή που τοποθετήθηκε στην κοιλιά της γυναίκας.

Οι γιατροί στη συνέχεια χρησιμοποίησαν λαβίδες, για να αφαιρέσουν τα θραύσματα. Μία διαδικασία που διήρκεσε τρεις ώρες. Μετά την επιτυχημένη επέμβαση, η γυναίκα πήρε εξιτήριο και έλαβε αντιβίωση, μεταδίδει η New York Post.
Σύμφωνα με ιατρική μελέτη, τα άτομα με εγκεφαλική παράλυση είναι πιο πιθανό να υποφέρουν από ακράτεια ούρων και ως εκ τούτου διατρέχουν μεγαλύτερο κίνδυνο να αναπτύξουν κολπικές πέτρες. Οι συγκεκριμένοι ασθενείς θα πρέπει να υποβάλλονται σε συχνές γυναικολογικές εξετάσεις, ακολουθούμενες από ακτινογραφία, κυρίως εάν υπάρχουν πέτρες.