Με το μεγάλο δάχτυλο του ποδιού του στη θέση του αντίχειρά του θα ζει πλέον ο 20χρονος Αυστραλός Ζακ Μίτσελ. Ο νεαρός άνδρας τραυματίστηκε σοβαρά τον Απρίλιο ενώ εργαζόταν σε φάρμα στη Δυτική Αυστραλία. «Ένας ταύρος κλώτσησε το χέρι μου και χτύπησε πάνω στον φράχτη» περιγράφει ο ίδιος το περιστατικό.
Ο αντίχειρας αποκόπηκε από τη δύναμη της κλωτσιάς και ο 20χρονος και οι συνάδελφοί του επιχείρησαν να σώσουν το δάχτυλο τοποθετώντας το μέσα σε κουτί με πάγο. Ο νεαρός μεταφέρθηκε άμεσα σε νοσοκομείο του Περθ, αλλά οι προσπάθειες να σωθεί ο αντίχειρας απέτυχαν.
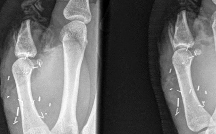
Ο 20χρονος υποβλήθηκε σε δύο επεμβάσεις για την επανατοποθέτησή του, που όμως δεν πέτυχαν. Έτσι οι γιατροί, όπως γράφει το BBC, αποφάσισαν να τοποθετήσουν στη θέση του αντίχειρα το μεγάλο δάχτυλο του ποδιού του. Η επέμβαση έγινε πριν από δύο εβδομάδες σε νοσοκομείο του Σίδνεϊ και κράτησε οκτώ ώρες.
Ο Μίτσελ ήταν αρχικά αρνητικός. Ο πλαστικός χειρουργός που ανέλαβε την επέμβαση λέει πως δεν ήταν παράξενο. «Είναι λίγο τρελή η ιδέα, οι τραυματίες δεν θέλουν να τραυματιστούν και σε άλλο σημείο του σώματός τους» εξηγεί. «Ωστόσο αν έχεις τέσσερα γερά δάχτυλα και δεν έχεις τον αντίχειρα, χάνεις μεγάλο μέρος της λειτουργικότητάς τους».
Ο 20χρονος θα χρειαστεί ακόμα 12 μήνες αποκατάστασης αλλά σκοπεύει στη συνέχεια να επιστρέψει στις αγροτικές εργασίες του.
