Πόσες και πόσες γυναίκες αφού ξυρίσουν τα πόδια τους δεν έχουν παραπονεθεί για ενοχλητικά εξανθήματα που δημιουργούνται από τα ξυράφια. Το ίδιο συμβαίνει και στην περιοχή του προσώπου των ανδρών, οι οποίοι ξυρίζουν το μούσι τους ή το μουστάκι τους.
Αυτό πίστευε και για τη δική της περίπτωση η 21χρονη Ριάνον Ντάγκλας, όταν είδε τα πόδια της να γεμίζουν με κόκκινα εξανθήματα αμέσως μετά το ξύρισμα. Τα εξανθήματα ωστόσο επέμεναν και ακολούθησε ένα πρήξιμο στα πόδια της. Για αυτό και κατέφυγε στο κοντινότερο νοσοκομείο για να συμβουλευτεί γιατρό.
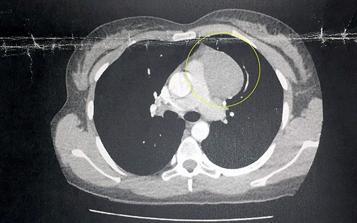
Εκεί με έκπληξη οι ειδικοί διαπίστωσαν πως η νεαρή γυναίκα έπασχε από μία σπάνια μορφή καρκίνου, το «Hodgkin lymphoma», το οποίο προκαλεί τα κόκκινα σημάδια και πρησμένα αγγεία στα πόδια.
Το ευτυχές είναι πως σε αυτή τη περίπτωση η διάγνωση έγινε νωρίς οπότε και ο καρκίνος είναι σε ιάσιμο στάδιο. Δείτε τις χαρακτηριστικές φωτογραφίες και το βίντεο που δημοσίευσε η Daily Mail…



