Είχε διάφορα συμπτώματα, αλλά το μυαλό της δεν είχε πάει σε αυτό που πραγματικά συνέβαινε. Ούτε οι γιατροί δεν μπορούσαν να φανταστούν ότι θα αντιμετώπιζαν τέτοιο περιστατικό και έμειναν με το στόμα ανοιχτό όταν διέγνωσαν ότι η Σκωτσέζα που επισκέφθηκε το νοσοκομείο του Αμπερντίν ζούσε τα τελευταία δέκα χρόνια με ένα ερωτικό παιχνίδι 11 εκατοστών στον κόλπο της!
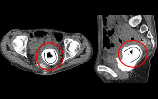
Η 38χρονη γυναίκα έχανε βάρος, ένιωθε πόνους και πολύ συχνά έπεφτε σε λήθαργο. Πήρε την απόφαση να επισκεφθεί ένα γιατρό προκειμένου να βρει από τι ακριβώς έπασχε. Του εξήγησε όσα ένιωθε, λέγοντας του ότι τον τελευταίο καιρό είχε και ακράτεια ούρων. Υπεβλήθη σε εξετάσεις και ο ειδικός εξεπλάγην. Είδε ότι ένα ξένο σώμα εξείχε στην κύστη της και προερχόταν από τον κόλπο της. Αποφάσισε να αναλάβει το περιστατικό με τη βοήθεια συναδέλφων του.
Οι γιατροί έβαλαν τη γυναίκα στο χειρουργείο και τότε ήταν που έπαθαν σοκ! Δεν μπορούσαν να πιστέψουν ότι αυτό που έβλεπαν στους υπερήχους -και εκείνη τη στιγμή ζωντανά- ήταν ένα ερωτικό παιχνίδι μήκους 11 εκατοστών. Τελικά, η γυναίκα παραδέχτηκε ότι το είχε χρησιμοποιήσει με τον σύντροφο της πριν 10 χρόνια και εξήγησε ότι επειδή ήταν μεθυσμένη δε μπορούσε μετά να θυμηθεί αν το είχε αφαιρέσει ή όχι από το σώμα της!
Οι χειρουργοί δεν μπορούσαν να πιστέψουν ούτε στα αφτιά τους και γι’ αυτό ζήτησαν να υποβληθεί και σε τεστ IQ, αλλά και να την εξετάσει ψυχίατρος για κατάθλιψη, ψύχωση, αλλά και ενδεχόμενη κακοποίηση. Δε συνέβαινε τίποτε από όλα αυτά. Η ψυχική της υγεία ήταν μια χαρά, όχι όμως και η σωματική της. Παρότι το αντικείμενο αφαιρέθηκε με την επέμβαση, της είχε προκαλέσει μια ζημιά που απειλούσε τη ζωή της. Η γυναίκα έπασχε από «κυστο-κολπικά συρίγγιο», μια ανωμαλία που επιτρέπει τη ροή των ούρων μέσα στον κόλπο. Παράλληλα, είχε και αποφρακτική ουροπάθεια, αφού είχε μπλοκαριστεί η ουροδόχος κύστη. Τελικά, οι γιατροί κατάφεραν να τη θεραπεύσουν και η 38χρονη πήρε εξιτήριο.

Μετά από ένα μεθύσι ξέχασε να αφαιρέσει το ερωτικό παιχνίδι, που φαίνεται εδώ κυκλωμένο.